成都金牛西川医院为您:“量身打造专属套餐”--怀孕早知道 费用不担心 早孕全套检查仅38元。
点此可预约早孕检查套餐
【医生解读】早孕测试
【NO.1】早孕试纸检测
[早孕结果]:同房后12天左右(检测简单方便,但准确度低,无法判断是否为宫外孕)

方法点评:女性怀孕的第七天,尿液中就能测出人绒毛膜促性腺激素(简称HCG)。将尿液滴在试纸上的检测孔中,如试纸的对照区出现两条有色带(有的试纸显红色,有的试纸显蓝色),表示怀孕,反之,表示未怀孕。
【NO.2】血HCG诊断早期妊娠
[早孕结果]:同房后7-10天即可检查是否怀孕(医院实验室检测,准确率较高,较早确诊)
方法点评:血HCG试验通过血液检查绒毛膜促性腺激素,是目前最早诊断是否怀孕的方法。一般正常人β-HCG放免测定值小于3.1,如果超过5就可以考虑受孕可能,如果超过10基本可以确定怀孕。
有疑问?点击咨询我院早孕医生
【NO.3】尿检诊断早期妊娠
[早孕结果]:同房后12天左右(医院实验室检测,较晚确诊)
方法点评:检测尿液中人绒毛膜促性腺激素的数量,但只有人绒毛膜促性腺激素的数量达到一定水平时才能被检测出来。
尿检有哪些注意事项?
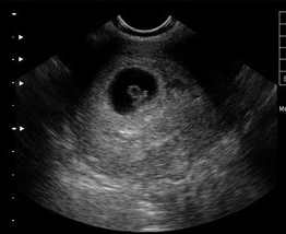
【NO.4】B超检查
[早孕结果]:同房后20天左右(医院检查,可信度高,结果准确,可判断是否为宫外孕)

方法点评:用B超诊断早孕是正确可靠的方法。在B型超声波屏上就可显示出子宫内有圆形的光环,又称妊娠环,环内的暗区为羊水,其中还可见有节律的胎心搏动,还可以看到孕囊大小、孕囊位置、还可以看到胎心和胚芽。
B超检查准吗?
医生指出,B超检查也能确定是宫外孕还是宫内妊娠,胚胎是否存活,这个是其他检查无法比拟的优点。
有疑问?拨打电话:028-65915555与医生免费沟通,或者直接点击<医生>在线咨询。
如果您的身体出现以下这些症状时,那么就证明你已经怀孕了
1、月经停止
2、早孕反应
3、乳晕变深
4、排尿次数增多
5、“早孕试纸”呈阳性
6、体温持续增高
有疑问?拨打电话:028-65915555与医生免费沟通,或者直接点击<医生>在线咨询。
成都金牛西川医院是成都市计划生育定点医院,同时是市卫生政府部门指定的非营利性医院,现在通过成都金牛西川医院的网络在线平台预约就诊。有疑问?拨打电话:028-65915555与医生免费沟通,或者直接点击<医生>在线咨询。










